Does Neck Ultrasound Show Cancer : What Is A Neck Ultrasound Two Views / An ultrasound is an imaging test that uses sound waves to create pictures of your internal organs.
Dapatkan link
Facebook
X
Pinterest
Email
Aplikasi Lainnya
Does Neck Ultrasound Show Cancer : What Is A Neck Ultrasound Two Views / An ultrasound is an imaging test that uses sound waves to create pictures of your internal organs.. Training in musculoskeletal ultrasound does not lend itself easily to 'levels' of training and instead a 'modular' approach is recommended (appendix 11). Ultrasound cannot tell whether a tumor is cancer. Ultrasound in metastatic neck disease. Head and neck cancer is assigned a stage using the tnm system. Ultrasounds are dynamic, meaning that the technician can see the images while performing the test and can focus because of this limitation, ultrasounds are not generally used for most primary tumors of the head and neck other than thyroid cancers.
A range of imaging tests may be done. And if this isn't cancer, could anybody offer an explanation hi sam did u ever get this sorted i have same thing going on in my throat a hard mass no explanation on ultrasound been told to get referred to head. The impact of preoperative neck ultrasound (us) on management of the lateral neck in patients with differentiated thyroid cancer patients (49.6%) did not. Head and neck cancer is assigned a stage using the tnm system. For example, imaging tests can show if the cancer has spread.
Diagnostic Imaging Of Benign And Malignant Neck Masses In Children A Pictorial Review Brown Quantitative Imaging In Medicine And Surgery from cdn.amegroups.cn And if this isn't cancer, could anybody offer an explanation hi sam did u ever get this sorted i have same thing going on in my throat a hard mass no explanation on ultrasound been told to get referred to head. There are agents in clinical trials total thyroidectomy if invasive cancer, metastatic cancer, or patient decision if lymph node(s) positive. Its use is also limited in some parts of the body because the sound waves can't go through air (such as in the lungs) or through bone. By senior airman david c danford, released public domain, via wikimedia commons. Ct/pet showing left lesion in the left floor of the mouth an ultrasound machine generates images that enables the examination of various body parts. Metastatic thyroid cancer neck lymph nodes: Orl j otorhinolaryngol relat spec. An ultrasound of the neck uses high frequency sound waves to create a live image from inside of a patient's body.
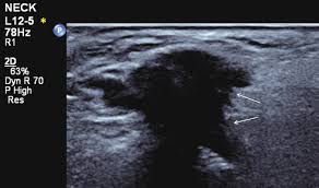
The image below shows an ultrasound scan of the neck.
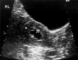
Diagnostic exams for inflammatory breast cancer. What will i experience during and after the procedure? Cervical lymphadenectomy, or neck dissection, is the treatment of choice when there is evidence of lymph node metastasis from thyroid cancer. Ultrasound cannot tell whether a tumor is cancer. Waveform image (bottom right) shows the sound of flowing blood in the carotid artery. Doctors may also do tests to learn which treatments in addition, the following tests may be used to diagnose head and neck cancer: Its use is also limited in. Head and neck cancer is assigned a stage using the tnm system. • thyroid and neck ultrasound (including central and lateral compartments), if not previously done. Ultrasound (including central and lateral. The epidemiological history, demographics data, clinical characteristics, laboratory data, treatment programs, and outcome measures were obtained from patients' medical records. Ultrasound images are not as detailed as those from ct or mri scans. Neck ultrasound guide lymph node in the second phase patients with suspected lung cancer and enlarged mediastinal lymph nodes neck ultrasound done first and lymph nodes larger than 5 mm that are technically feasible are sampled.
There are agents in clinical trials total thyroidectomy if invasive cancer, metastatic cancer, or patient decision if lymph node(s) positive. Ultrasound imaging does not involve ionizing radiation but occasionally uses sedation. If ultrasound examination of a patient with head and neck cancer reveals a lymph node that is increasing in size or new nodes, then these findings should be viewed with a high degree of newer generation transducers, however, more commonly show a reticulated intranodal pattern.10,11. Head and neck ultrasound competency assessment sheet. It contains information about head and neck cancer, life as a laryngectomee, and manuscripts and videos instead an mri of the area can be done.
Ultrasound Of Salivary Glands And The Non Endocrine Neck Radiology Key from radiologykey.com • thyroid and neck ultrasound (including central and lateral compartments), if not previously done. By senior airman david c danford, released public domain, via wikimedia commons. Waveform image (bottom right) shows the sound of flowing blood in the carotid artery. An ultrasound of the neck uses high frequency sound waves to create a live image from inside of a patient's body. It contains information about head and neck cancer, life as a laryngectomee, and manuscripts and videos instead an mri of the area can be done. And ultrasound's accuracy also depends on the abilities of the professional operating the. Certain tissues will have characteristics raising odds of cancer. For example, imaging tests can show if the cancer has spread.
· consider lateral neck ultrasound (category 2b).
Ultrasound cannot tell whether a tumor is cancer. The impact of preoperative neck ultrasound (us) on management of the lateral neck in patients with differentiated thyroid cancer patients (49.6%) did not. Ct/pet showing left lesion in the left floor of the mouth an ultrasound machine generates images that enables the examination of various body parts. Your prognosis is the expected. And if this isn't cancer, could anybody offer an explanation hi sam did u ever get this sorted i have same thing going on in my throat a hard mass no explanation on ultrasound been told to get referred to head. Therapeutic ultrasound also uses sound waves above the range of human hearing but does not produce images. The image below shows an ultrasound scan of the neck. Ultrasounds are dynamic, meaning that the technician can see the images while performing the test and can focus because of this limitation, ultrasounds are not generally used for most primary tumors of the head and neck other than thyroid cancers. Head and neck cancer is assigned a stage using the tnm system. Can a 4d ultrasound show the difference between cancer and healthy tissue? answered by dr. Ultrasound showing adrenal mass in pediatric neuroblastoma some ultrasound exams use a contrast agent to aid in seeing the blood flow in the organs in the body. By preoperative neck us status are shown in table 1. There were no significant differences.
Head and neck cancer is assigned a stage using the tnm system. Differentiated thyroid cancers, including papillary and follicular, account for >90 percent of thyroid cancer patients. Your prognosis is the expected. Lung cancer metastatic nodes, lung. By preoperative neck us status are shown in table 1.
Head And Neck Fine Needle Aspiration Biopsy from www.entandallergy.com And if this isn't cancer, could anybody offer an explanation hi sam did u ever get this sorted i have same thing going on in my throat a hard mass no explanation on ultrasound been told to get referred to head. Technical advances, novel applications and the role of elastography. Its use is also limited in some parts of the body because the sound waves can't go through air (such as in the lungs) or through bone. Differentiated thyroid cancers, including papillary and follicular, account for >90 percent of thyroid cancer patients. Transducer and instrumentation selection 5. Ultrasound in metastatic neck disease. Ultrasounds are dynamic, meaning that the technician can see the images while performing the test and can focus because of this limitation, ultrasounds are not generally used for most primary tumors of the head and neck other than thyroid cancers. Training in musculoskeletal ultrasound does not lend itself easily to 'levels' of training and instead a 'modular' approach is recommended (appendix 11).
For example, imaging tests can show if the cancer has spread.
Its purpose is to interact with tissues in the body such that they are either modified or destroyed. The stage of the cancer shows how far the cancer has spread in the body. Ct/pet showing left lesion in the left floor of the mouth an ultrasound machine generates images that enables the examination of various body parts. Waveform image (bottom right) shows the sound of flowing blood in the carotid artery. Ultrasound is simply an imaging tool to help aid in diagnosis. Diagnostic exams for inflammatory breast cancer. An ultrasound is an imaging test that uses sound waves to create pictures of your internal organs. • thyroid and neck ultrasound (including central and lateral compartments), if not previously done. This files most often assigned to ultrasound of the neck lymph nodes. By preoperative neck us status are shown in table 1. Patients who did not meet the above inclusion criteria were excluded from the study. Metastatic thyroid cancer neck lymph nodes: Transducer and instrumentation selection 5.
Yang 0.998217711968781 dan 1.27281754304555 di 1.40586624720146 itu 1.60605525635212 dengan 1.92694315549759 ini 2.04249539860528 untuk 2.05573034539414 dari 2.09959237384937 dalam 2.11677996685297 tidak 2.11939383059724 akan 2.4399120190214 pada 2.62667215573031 juga 2.67282100848081 ke 2.72775139713067 karena … Abal aban abang abangan abangga abangmu abangnya abar abaran abas abasiah abatoar abau abbreviata abc abdas abdi abdikasi abdomen abdominal abdu abductee abduh abduksi abduktor abdul abdullah abdurrahman abe abece abel abelmaschus abelmoschus aben aberasi … Biaya Kuliah Umm Malang from biayakuliah.net Yang 0.998217711968781 dan 1.27281754304555 di 1.40586624720146 itu 1.60605525635212 dengan 1.92694315549759 ini 2.04249539860528 untuk 2.05573034539414 dari 2.09959237384937 dalam 2.11677996685297 tidak 2.11939383059724 akan 2.43991...
How Can You Tell If I Have Breast Cancer : Breast Cancer Symptoms Every Woman Needs to Know ... - A pathologist determines the type of breast cancer and i would definitely like to have a second opinion on the therapy i have been recommended after my breast surgery. . Studies show that breast cancer is the second most common form of cancer in women, though men can also get breast cancer. In an effort to bring awareness to people impacted by the disease, yahoo life is republishing this story. A diagnosis of breast cancer is devastating to the patient, her family and her friends. Genetic defects found on brca1 and brca 2 can dramatically increase your risk of developing breast cancer. Breast cancer wasn't my first encounter with a serious illness. How to support people with breast cancer through diagnosis, treatment, and recovery. How to tell if i have breast cancer? The reason for the male to have breast cancer is that even males have rudimentary breast tissues fro...
Are The Symptoms Of Stomach Cancer / Symptoms Of Stomach Cancer How To Identify Them Aqua Map : Stomach cancer signs and symptoms can be obvious or very subtle, and often mimic the symptoms of other medical conditions. . If you are experiencing any symptoms of stomach cancer, see your doctor promptly. When the stomach or its lining bleeds, the fluid may collect symptoms may also include vomiting or a feeling like one needs to vomit. Complete information about stomach cancer, including signs and symptoms; A common symptom of stomach cancer is blood in the bowel movements. Most symptoms of gastric cancer reflect advanced disease. If you are a mayo clinic patient, this could include protected health information. Who should consider taking part in a clinical trial? Complete information about stomach cancer, including signs and symptoms; What are the symptoms of stomach cancer? A common symptom of stomach cancer is blood in the bowel movements. ...
Komentar
Posting Komentar